
Nem todo mundo sabe o que é artrose, por causa disso, as pessoas ficam confusas nos métodos de tratamento e não entendem os princípios de diagnóstico de patologia. A artrose é uma violação distrófica grave que provoca a lesão dos tecidos da cartilagem na cavidade intra -articular. A complexidade da terapia está associada à irreversibilidade dos processos, uma cura completa na estrutura da medicina moderna não pode ser alcançada, mas a gravidade dos sintomas pode ser reduzida e a progressão da patologia pode desacelerar. Com o tratamento adequado, uma pessoa continua o estilo de vida usual por um longo tempo.
O que é artrose?
Da mesma forma, é mais simples que para a artrose da doença seja uma doença das articulações que provoca a restrição da amplitude de movimento e dor. No primeiro estágio de dano, não há manifestações, têm uma pequena gravidade e lavadas. Gradualmente, a patologia progride, isso é facilitado por alterações relacionadas à idade no corpo, estresse, lesões etc. De acordo com estatísticas, cerca de 80% da população com mais de 60 anos de artrose.
A artrose da articulação se desenvolve por um longo tempo, afeta inicialmente apenas a cartilagem da hialina, depois se espalha para os ossos, envolve a concha sinovial, os músculos e toda a cápsula articular. No primeiro ou no estágio inicial da artrose, a lesão se manifesta levemente: pequenas dores após trabalho duro, inchaço, vermelhidão da pele. Devido ao ignorando sensações desconfortáveis, a articulação é deformada, inflamada, traz dor intensa, seu pico cai pela manhã. A doença é caracterizada pelo desaparecimento da dor após o desenvolvimento da articulação. Se não for tratado, uma pessoa perde completamente a mobilidade da articulação.

Existe uma forma primária e secundária de artrose. A pseudo-artrose (neoartrose) também é distinguida- muitas pessoas não sabem o que é, pois é formada com menos frequência do que outras variedades. A neoartrose é uma articulação falsa; portanto, o tecido da cartilagem aumenta em um local incomum onde os danos foram obtidos. É difícil de tratar, principalmente cirurgicamente.
Há uma patologia devido a distúrbios da função regenerativa, imunidade ou dano mecânico. Devido a várias causas de cartilagem, torna -se mais fino. Em estado normal, o tecido da cartilagem recebe nutrição suficiente para recuperação, mas após o esforço físico excessivo ou devido a uma violação dos processos metabólicos, os tecidos não têm tempo para se regenerar. Na primeira etapa, a mobilidade conjunta permanece. Tendo considerado o que a artrose é como uma definição, vale a pena se aprofundar em mais detalhes para o desenvolvimento da patologia.
O mecanismo de desenvolvimento da artrose, seus tipos
Muitas variedades de artrose se desenvolvem de acordo com um esquema semelhante:
- A lesão primária afeta a cartilagem hialina. Em caso de distúrbios circulatórios, ocorre deterioração patológica do poder. É a primeira etapa ou causa, que pode ocorrer artrose.
- Patologias de revestimento de hialina. O afinamento da cartilagem leva à substituição de seus tecidos patológicos - estruturas ósseas.
- Os crescimentos anômalos aparecem na cartilagem - osteófitos.
- A violação surgida da anatomia natural da cartilagem e dos ossos provoca a sobrecarga de áreas saudáveis da cartilagem. A destruição de tecidos articulares sem tratamento está progredindo constantemente e leva à incapacidade.
Quando o grau de doença aumenta, os processos patológicos ainda são agravados. No final, toda a cartilagem de Hyalin é destruída.
O último grau da doença leva a:
- envolvimento no processo patológico dos ossos, sob e acima das superfícies cartilaginosas;
- irritação de uma concha articular, limitando a mobilidade, que leva à incapacidade de 2 graus;
- aumento da densidade da cápsula;
- Reduzindo a lacuna na lacuna da articulação, que se torna perceptível na imagem. O estágio da violação é determinado pelo diagnóstico-Tantgenologist. O paciente sente a complexidade ou a incapacidade de endireitar completamente e dobrar o membro;
- Deformação articular, a cartilagem adquire uma forma irregular, provocando curvatura;
- Deterioração na condição do paciente com destruição completa da articulação.
Estágios de artrose
Doença articular tem 3 estágios de desenvolvimento:

- 1 grau. Os distúrbios morfológicos já começaram, mas ainda não são perceptíveis. A patologia afeta principalmente a condição do líquido sinovial, que pior fornece tecidos da cartilagem com componentes nutrientes, reduzindo a força da cartilagem. A carga nas articulações provoca inflamação e dor.
- Etapa 2. Devido à deficiência de oferta, os cartuchos necessários são destruídos, os crescimentos ósseos são formados na superfície da cartilagem. As dores adquirem um caráter mais pronunciado, se intensificam após um longo descanso, são eliminadas por um pequeno trabalho físico. A dor é acompanhada pela inflamação. Os músculos são esticados, o que leva a funções motoras com deficiência fraca ou média.
- 3 graus. Muitas vezes, há dores, é difícil mover o membro devido a alterações na articulação. As lesões são extensas, tornam -se perceptíveis ao visual nu. A deformação do local articular ocorre, a área afetada incha e fica vermelha. O eixo do membro é perturbado, o que leva à complexidade do movimento. As mudanças patológicas provocam o encurtamento dos ligamentos. Sublutas e contraturas aparecem. Os músculos adjacentes são reduzidos ou esticados, dos quais a função contrátil é enfraquecida.
Causas e fatores de risco para o desenvolvimento da artrose
As causas da artrose das articulações diferem dependendo da forma de patologia. A artrose deformada da articulação do cotovelo, articulação do tornozelo e artrose do ombro às vezes se desenvolvem sem causas perceptíveis, é possível detectá -las com um médico, um especialista em reumatologia. Se o problema não foi precedido por patologias visíveis, a doença é chamada primária. A forma secundária de violação é diagnosticada principalmente, pode provocar vários estados.
As principais razões para o desenvolvimento:
- Danos mecânicos: deslocamentos, fraturas, alongamento, lesões por menisco;
- Vários distúrbios endócrinos associados a mau funcionamento no trabalho de imunidade;
- patologias do metabolismo;
- displasia (anomalias congênitas de tecidos articulares);
- sofreu inflamação das articulações;
- Patologias que levam à alta mobilidade das articulações e enfraquecimento dos ligamentos.
Pacientes com artrose mais frequentemente encontraram uma doença devido a fatores predisponentes:
- mudanças relacionadas à idade;
- Peso leve e aumento do IMC. Alta carga na articulação leva a um rápido desgaste da junta;
- falta de substâncias benéficas;
- Carga excessiva nas juntas. O motivo é treinamento intenso, esportes, trabalho físico duro;
- condições de trabalho difíceis ou uma abordagem incorreta do esporte. Se houver um histórico de tendência genética a danificar, lesões nas articulações ou doenças semelhantes, é importante aderir a um programa de treinamento especial, evitando exercícios traumáticos e difíceis;
- O período pós -operatório de recuperação ou operações complexas transmitidas associadas à excisão de uma grande parcela dos tecidos afetados. Tais estados afetam negativamente a suavidade e a força da cartilagem, a carga deve ser minimizada neles;
- Tendência genética, a artrose é mais frequentemente diagnosticada em pacientes com parentes com a mesma patologia;
- O estágio da pós -menopausa, ocorre em mulheres por cerca de 50 anos, está associado a mudanças no sistema endócrino;
- o efeito destrutivo das toxinas;
- baixa situação ambiental na região de residência;
- Danos frequentes à articulação, às vezes as microcracks não aparecem por um longo tempo;
- hipotermia;
- Patologia da parte lombar e cervical da coluna vertebral.
Artrose primária

A artrose primária é formada de forma independente, isto é, sem a influência de nenhuma causa interna ou externa. A derrota se desenvolve através da cartilagem Hyalin muito lentamente. Raramente é diagnosticado, representa apenas 3-5% de todos os casos.
Artrose secundária
A artrose secundária é mais frequentemente detectada por uma ordem de 95 a 96% dos casos. Eles são provocados por qualquer uma das patologias acima.
Sinais e sintomas de artrose
As manifestações da doença diferem pouco, dependendo da localização, mais frequentemente os sinais são refletidos nos joelhos, articulações do ombro e quadril, devido à alta carga.
Principalmente as queixas se resumem a:
- dor. Eles têm baixa gravidade no estágio inicial, com agravamento do estado de sensação intensificado. Inicialmente, as articulações doem somente depois de acordar, depois de um leve e quente, as sensações desaparecem. Com o tempo, as dores aparecem à noite, elas perturbam bastante durante e após a caminhada prolongada, correndo etc. Na última etapa, a síndrome da dor persegue uma pessoa o tempo todo;
- amplitude limitada de movimentos. A rigidez das ações indica mudanças anatômicas na estrutura. A princípio, ele se manifesta pela manhã e os movimentos diários são limitados. Para não provocar o agravamento da condição, o trabalho deve ser diverso e leve, caso contrário, o paciente não será capaz de soltar e espremer o membro ao longo do tempo. Com o tempo, existe o risco de contratar, da qual uma pessoa perde capacidade motora;
- Coroa durante os movimentos - pertence às manifestações não específicas da artrose. A doença é caracterizada pela ocorrência de crocância em uma única articulação (exceto poliartrose), acompanhada por um desconforto, dor e ações limitadas. A natureza da corrente é semelhante a onda - a princípio se manifesta fracamente, intensifica gradualmente, mas em 3 etapas desaparece;
- inchaço com vermelhidão. Está localizado próximo à articulação doente, isso indica um processo inflamatório e uma progressão da doença. O médico entende que a concha sinovial é afetada, isso provoca o acúmulo de fluido e aumento da dor;
Deformações dos membros. Aparece em uma forma negligenciada da doença, indica a destruição completa do tecido da cartilagem e o aparecimento de osteófitos. Nesse estado, a pressão nas juntas na parte superior e abaixo aumenta, a partir da qual a curvatura pode afetar todo o membro.
É importante lembrar que a deformação dos ossos na perna é frequentemente confundida com o milho. O sintoma é pouco perigoso apenas à primeira vista, mas leva a sérias conseqüências.
Complicações
Inicialmente, métodos de terapia conservadores são usados para tratamento. Se eles são ineficazes ou o paciente ignorou as recomendações do médico, há um risco de consequências.
Possíveis complicações:
- A articulação é completamente destruída;
- O membro é imobilizado, quaisquer movimentos se tornam extremamente difíceis;
- hérnias intervertebrais;
- inabilidade;
- Forte deformação da articulação ou de todo o membro.
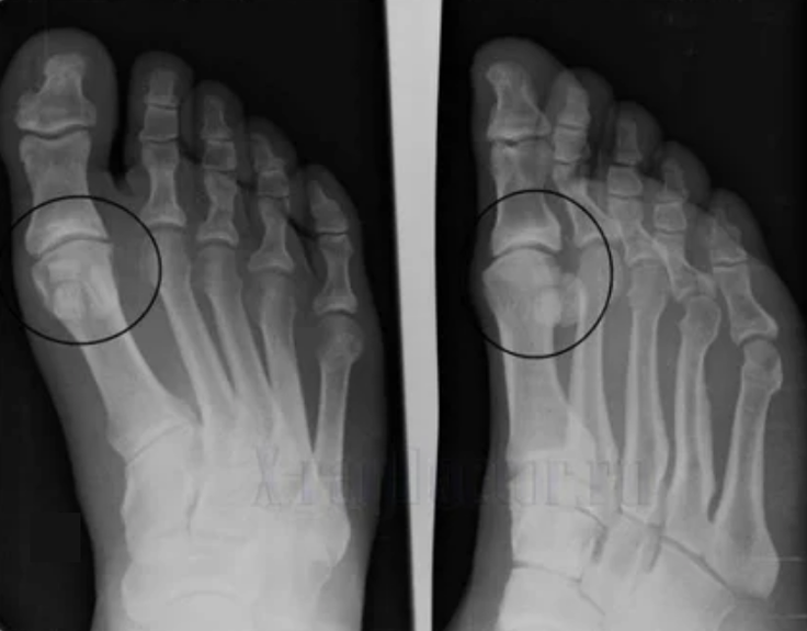
Diagnóstico de artrose
Para fazer um diagnóstico, os reumatologistas estudam as queixas do paciente e prescrevem um exame de raios X. Na maioria das vezes, a radiografia é usada em 2 projeções. O médico analisa a presença de distúrbios distróficos na cartilagem hialina e nas articulações ósseas. Se a lacuna articular for reduzida, os ossos serão deformados ou achatados, existem formações císticas na superfície da cartilagem, os osteófitos são sinais óbvios de artrose. Durante a inspeção, a artrose indica a instabilidade da articulação: o eixo dos membros e subluxação é perturbado.

Muitas vezes, uma imagem de raio X não é capaz de fornecer informações completas sobre a condição da articulação. Para um estudo mais completo, a tomografia computadorizada é prescrita, é eficaz para examinar ossos. A ressonância magnética é mais frequentemente usada para estudar tecidos moles.
Durante o diagnóstico, é praticado o envolvimento de outros especialistas que ajudarão a determinar a causa raiz da patologia. Frequentemente recorre à consulta de um hematologista, endocrinologista, ginecologista, ortopedia.
Tratamento moderno
Existem centenas de maneiras de terapia com artrose, mas todas elas se resumem a vários métodos:
- Tratamento medicamentoso. A principal tarefa é combater os sintomas e impedir o desenvolvimento adicional de uma violação. Na maioria das vezes, os analgésicos são usados para aliviar a dor, medicamentos anti -inflamatórios não esteróides para combater a inflamação, os medicamentos hormonais são prescritos para dor intensa e inflamação aguda. Cada curso é baseado em condroprotetores que protegem os tecidos da cartilagem da destruição, as substâncias naturais são usadas para sua fabricação;
- fisioterapia. Aumenta a eficácia dos medicamentos, lutas com inflamação, alivia os sintomas, acelera a regeneração tecidual. Mais frequentemente utilizou terapia ultrassônica, elétrica, magnética e a laser. Isso também inclui banhos de lama, aplicações com materiais naturais, banhos de radônio;
- Educação Física Médica. É útil como uma prevenção e facilitar a condição. Após os exercícios físicos corretos, é possível eliminar completamente a dor. É útil visitar a piscina, se envolver em ioga e frequentemente andar;
- Terapia manual, massagem ajudará no tratamento da doença, pois contribuem para a prevenção da curvatura das articulações. Após lesões, o terapeuta manual é capaz de nivelar a articulação, impedindo sua fixação na posição errada. Após a massagem, o tônus muscular é aprimorado, a circulação sanguínea é acelerada;
- Nutrição adequada. Uma dieta saudável ajudará a enriquecer o corpo com nutrientes para cartilagem e reduzir o peso corporal. Uma grande massa aumenta o desgaste das articulações;
- O tratamento com resort de sanatório fortalecerá as articulações. Na estrutura de cura, os sanatórios são oferecidos balneoterapia, terapia de exercícios, procedimentos fisioterapêuticos, etc.;
- Terapia não tradicional. Para o tratamento da artrose, cabanas, medicina naturo-, afogada e eral, bem como acupuntura e várias receitas folclóricas;
- A intervenção cirúrgica é a única maneira de retornar à vida habitual no terceiro estágio da doença. A endoprostética permite que você substitua a cartilagem do paciente pelo implante. A única desvantagem da operação é o alto custo. Um procedimento é suficiente para 15 a 20 anos.
Medidas preventivas
Para que a artrose da articulação não se preocupe na velhice, permanece:
- manter um estilo de vida saudável;
- prevenir cargas fortes;
- observar uma dieta;
- excluir maus hábitos;
- Realizar ginástica diariamente;
- Siga o peso.
A artrose é uma doença perigosa que é muito mais fácil de prevenir do que curar. Com a busca oportuna de um médico e a conformidade com as regras de tratamento, o paciente poderá manter um estilo de vida familiar por um longo tempo. A falta de terapia e auto -medicação provoca a rápida agravamento da doença e, finalmente, a deficiência.
























